Was ist der Unterschied zwischen B-Ultraschall,Farbdoppler-Ultraschallund Doppler-Ultraschall?
& quot;B-Ultraschall ist Ultraschall? Vierdimensional, dreidimensional, B-Ultraschall und Farbultraschall sind in Wolken und Nebel undeutlich? Hat Ultraschall Strahlung? Wie lösen sie schwierige Aufgaben? Ist Farbultraschall der Farbultraschall?&Zitat;
1. Wie funktioniert Ultraschall?
Ultraschall ist eine Art Vibrationswelle, die durch Medien wie Wasser oder Luft übertragen wird. Das menschliche Ohr kann nur die Schallwelle von 20-20000 Hz (20-20000 Schwingungen pro Sekunde) wahrnehmen. Wenn die Frequenz größer als 20000 Hz ist, hören Menschen zu Nein, diese Art von Schallwelle, die Menschen nicht fühlen können, ist Ultraschall.
Bei der Ultraschalluntersuchung werden Ultraschallgeräte verwendet, um Ultraschallwellen auszusenden, die von Menschen nicht gehört werden können. Als Medium trifft es auf verschiedene menschliche Organe und erzeugt unterschiedliche Echos. Das Ultraschallgerät führt eine Analyse basierend auf den verschiedenen empfangenen Echos und entsprechend der Übertragung jedes Organs durch. Echos zu verschiedenen Zeiten, um die räumliche Position eines bestimmten Organs zu lokalisieren. Je nach Stärke des Echos kann auch festgestellt werden, ob die Eigenschaften des Organs normal oder abnormal sind. Durch Ultraschall können wir die Struktur, Größe und Lage des menschlichen Körpers beurteilen, die wir normalerweise nicht sehen können ...
2. Warum nicht niedrige Schallwellen für die Bildgebung wählen?
Ultraschall hat eine kleinere Wellenlänge. Je höher die Ultraschallfrequenz, desto kleiner die Wellenlänge, desto kleiner der Abstand zwischen den beiden Punkten, der aufgelöst werden kann, desto höher die Auflösung und desto größer die Feinheit des gemessenen Gewebes. Daher wird Medizin Ultraschall oft zum Testen verwendet.
Ultraschall ist nicht-invasiv und wir können ihn bei Bedarf viele Male wiederholen.
Ultraschall ist eine Echtzeit-Erkennung. Wenn sich der Fötus bewegt, können wir ihn genau beobachten. Daher wird Ultraschall häufig bei pränatalen Untersuchungen eingesetzt.
Die Frequenz der von medizinischen Ultraschallgeräten emittierten Ultraschallwellen beträgt etwa 3 bis 5 Millionen Hz, was mehr als das 100-fache der Obergrenze der vom Menschen hörbaren Schallwellenfrequenz ist. Menschen können den Klang dieser Instrumente nicht hören.
3. Hat Ultraschall eine Strahlung für das Baby?
Strahlung bezieht sich auf jede Energie, die in Form von Wellen oder Partikeln durch den Weltraum und die Medien emittiert oder übertragen wird, einschließlich der von uns ständig verwendeten: (nicht ionisierende Strahlung) sichtbares Licht, Infrarot, Mikrowelle, Radiowellen, sehr niederfrequente Wellen, Wärme Strahlung.
Nur wenige Menschen befürchten, dass uns sichtbares Licht und Schallwellen schaden könnten, obwohl es sich auch um eine Art Strahlung handelt. Die Leute machen sich oft Sorgen wegen der"Gibt es Strahlung" bezieht sich wirklich auf ionisierende Strahlung: Alphateilchen, Betateilchen, Neutronen, Röntgenstrahlen, Y-Strahlen, das sind alles energiereiche Strahlungen, sie können Elektronen von den damit verbundenen Atomen entfernen. Der Prozess der Ionenerzeugung wird als Ionisation bezeichnet. Ionen sind sehr destruktiv für verschiedene Moleküle des menschlichen Körpers, einschließlich DNA und Proteine. Diese Strahlungsart ist höher als nichtionisierende Strahlung.
In der Medizin gibt es Anwendungen dieser Art von ionisierender Strahlung, aber vernünftige und sorgfältige Anwendungen wie CT und Röntgen sind relativ sicher. Ultraschall ist eine Schallwelle, keine ionisierende Strahlung, und verursacht nicht denselben Schaden wie ionisierende Strahlung.
Obwohl es sich nicht um ionisierende Strahlung handelt, sind Schallwellen immer eine Art von Energie, und es gibt noch potenzielle Möglichkeiten. Wenn die Energie sehr hoch ist, wird sie andere Reaktionen anderer Organismen als"Ionisation" hervorrufen:"thermobiologische Wirkung","Kavitation [GG ] Zitat; Phänomen"-es tritt normalerweise auf, wenn die Dosis viel höher ist als die des konventionellen diagnostischen Ultraschalls.
Ultraschall hat jahrzehntelange klinische Anwendung durchgemacht. Bisher gibt es keinen medizinischen Beweis dafür, dass geburtshilflicher Ultraschall offensichtliche kurz- oder langfristige Auswirkungen auf den Fötus hat.
4. B-Ultraschall=Ultraschall?
B-Ultraschall ist nur die häufigste Art von Ultraschall.
Der gebräuchlichste, grundlegendste und wichtigste: der zweidimensionale Ultraschall (B-Ultraschall), der die Struktur in verschiedenen Schwarz-Weiß-Stufen darstellt, um zu beobachten, ob die Struktur und Größe des Babys normal sind. Einige Aktivitäten sind nicht Das Schwarze ist eine andere Farbe. Dies ist kein Farbdoppler-Ultraschall. Es verwendet nur eine andere Farbe, um verschiedene Graustufen zu ersetzen.
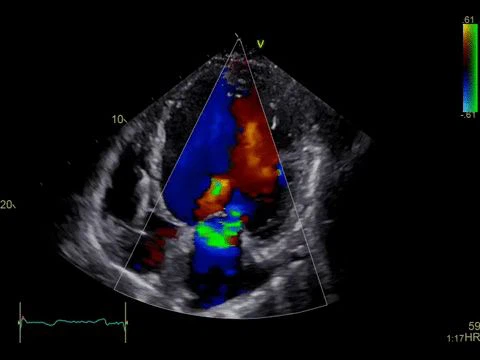
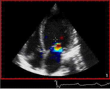
Farbdoppler-Ultraschall wird verwendet, um den Blutfluss anzuzeigen. Es verwendet verschiedene Farben und Helligkeit, um die Richtung und Geschwindigkeit des Blutflusses anzuzeigen, was uns hilft, Blutgefäße und das Herz zu beobachten.

Manchmal müssen Ärzte die Wellenform des Blutflusses genau beobachten, und wenn sie ihre Geschwindigkeit messen, wechseln sie zu einem anderen Ultraschall: Doppler-Ultraschall. Schwangere Mütter kennen dreidimensionale undvierdimensionaler Ultraschall.

Dreidimensionaler und vierdimensionaler Ultraschall: Die gesammelten ebenen Bilder werden durch die Ultraschall-Konvertierungssoftware im Instrument in dreidimensionale, dreidimensionale und vierdimensionale Bilder umgewandelt. Dieser Anzeigemodus kommt der Angewohnheit, Dinge mit bloßem Auge zu sehen, am nächsten. Schwangere Mütter und Väter mögen diesen Anzeigemodus im Allgemeinen. Drei- und vierdimensionaler Ultraschall kann Geburtshelfern helfen, die Anomalien des Fötus zu überprüfen. Derzeit besteht die größte Rolle darin, ein Bild zu machen und ein Bild aufzuzeichnen, damit sich die schwangeren Eltern daran erinnern können. Aus diagnostischer Sicht ist ihre Rolle relativ begrenzt.









